東京オリンピックが近いということで、歯とスポーツのコラム、今回は第16弾です。
先日、水谷隼さんの回でも触れましたが、「歯が命アワード」の記念すべき第一回目の受賞者はフィギュアスケートの荒川静香選手でした。
授賞式で荒川選手は「子供のころから歯を大切にしてきました。健康な歯に育ててくれた両親に感謝」と述べています。
当院のスポーツのコラムでも何度か触れてきましたが、フィギュアスケートのようなバランス感覚が大事になる競技では歯並びや歯の健康は特に大切になってきます。

荒川選手はまた、「五輪を目指すアスリートには噛み合わせや虫歯など、歯に対する意識を向けてがんばってほしい」と語っていました。
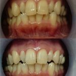
ホワイトニングも歯周病予防など、歯の健康のお手伝いが出来ます。ぜひご利用ください♪
















