
皆さんは歯磨き後に何回うがいをしていますか?
実は、歯磨き後のうがいは1,2回でOKなのです!
その理由は、歯磨き粉にはフッ素が入っていることが多いためだそうです。
虫歯の初期の段階では、虫歯菌が作り出した酸が歯の成分(=ハイドロキシアパタイト)を溶かしていきます。
これを「脱灰」と呼び、
この脱灰したハイドロキシアパタイトが歯に戻る「再石灰化」という現象が起こります。
フッ素はこの再石灰化を起こしやすく、またいったん歯に戻ると次には脱灰しにくいという特徴があります!
さらに、歯の表面が強いアパタイトに置き換わって虫歯に強くなります!
しかし何度もうがいをすることがフッ素が流れてしまい、この効果が薄くなってしまうのです。
そのため歯磨き後は少量の水で1,2回のうがいにしておきましょう(^▽^)/
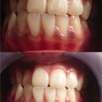
当サロンのホワイトニングにも虫歯になりにくい効果があるので、白くするだけでなく虫歯予防にもお勧めですよ♪















